Behandlung von verlagerten ZähnenEin chirurgischer Eingriff, um Schmerzen, Entzündungen und Fehlstellungen zu vermeiden.
Behandlung und Erfolgsaussichten
Verlagerte Zähne sind Zähne, die nicht an ihrer regulären Position im Kiefer durchbrechen, sondern an einer ungewöhnlichen Stelle verbleiben oder sogar im Kieferknochen eingeschlossen bleiben. Eine frühzeitige Diagnose und Behandlung ist wichtig, um Komplikationen wie Zahnfehlstellungen, Schmerzen oder Schäden an benachbarten Zähnen zu vermeiden.

Indikation
Die Behandlung eines verlagerten Zahns ist in folgenden Fällen notwendig:
Schmerzen oder Entzündungen
Wenn ein verlagerter Zahn Druck auf das umliegende Gewebe ausübt oder nur teilweise durchbricht, kann es zu anhaltenden Schmerzen, Schwellungen oder Entzündungen kommen. In manchen Fällen entsteht eine Infektion, da Bakterien in schwer zu reinigende Zwischenräume eindringen können.
Beeinträchtigung der Nachbarzähne
Verlagerte Zähne können gegen die Wurzeln oder Kronen benachbarter Zähne drücken und dadurch Schäden verursachen. Dies kann zu Wurzelresorption, Verschiebungen oder sogar Zahnverlust führen. Besonders häufig kommt dies bei Weisheitszähnen vor, die auf die benachbarten Backenzähne drücken.
Zahnfehlstellungen
Wenn ein Zahn nicht an seiner vorgesehenen Stelle durchbricht oder schief wächst, kann dies die gesamte Zahnreihe beeinflussen. Insbesondere verlagerte Eckzähne können eine kieferorthopädische Behandlung erforderlich machen, um den Biss und die Zahnstellung zu korrigieren.
Störungen des Bisses oder der Kieferfunktion
Fehlstellungen durch verlagerte Zähne können zu Problemen mit der Kaufunktion führen. In einigen Fällen entstehen durch eine ungleichmäßige Belastung Beschwerden im Kiefergelenk, die sich durch Knacken, Schmerzen oder eingeschränkte Mundöffnung äußern.
Entstehung von Zysten oder Infektionen
Ein verlagerter Zahn kann die Bildung einer Zyste im Kieferknochen begünstigen. Diese mit Flüssigkeit gefüllten Hohlräume können den Knochen schwächen und zu größeren Schäden führen. In schweren Fällen kann eine chirurgische Entfernung der Zyste notwendig sein, um Folgeschäden zu vermeiden.
Ausbleibender Durchbruch von wichtigen Zähnen
Vor allem bei bleibenden Eckzähnen, die eine entscheidende Rolle für die Zahnreihe spielen, ist eine rechtzeitige Behandlung wichtig. Wenn der Zahn nicht von selbst durchbricht, kann er chirurgisch freigelegt und mit einer Zahnspange in die richtige Position gebracht werden.
Ablauf der Operation
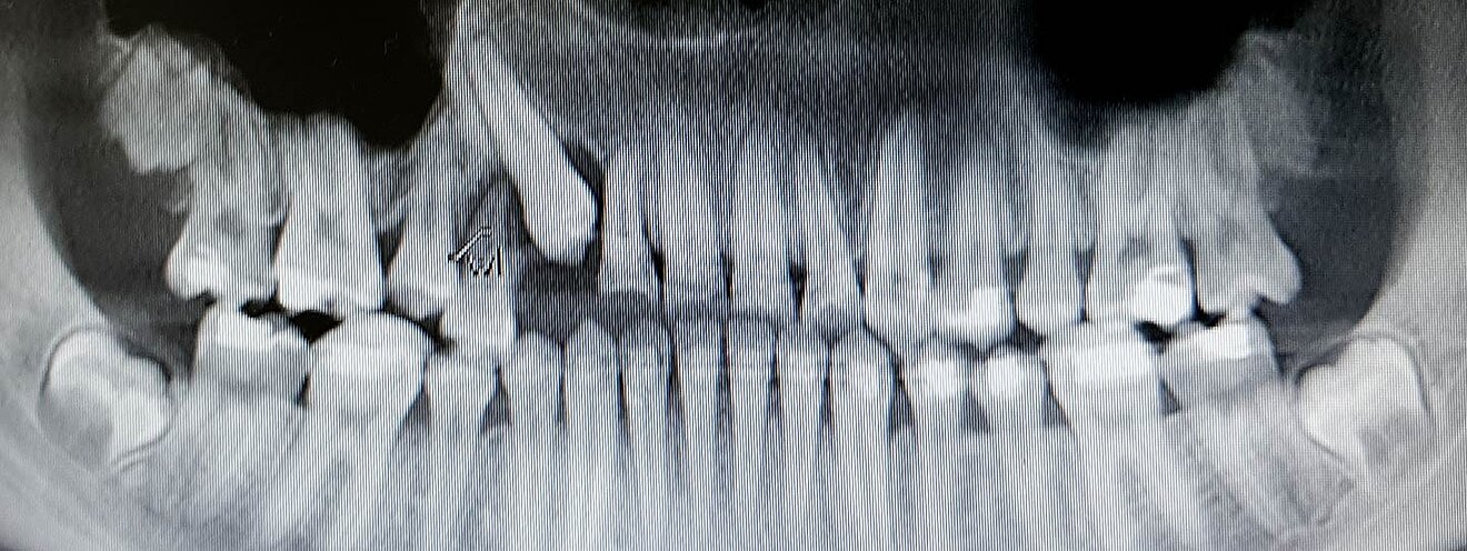
Vor der Behandlung wird der verlagerte Zahn durch Röntgenbilder oder dreidimensionale Aufnahmen (DVT) genau lokalisiert.
Unsere Chirurgen setzen bei der Operation einen kleinen Schnitt im Zahnfleisch, um den Zahn freizulegen. Nach der Entfernung oder Freilegung des Zahns wird die Wunde gereinigt und vernäht. Die Fäden werden nach etwa einer Woche entfernt, während eine vollständige Heilung je nach Eingriff mehrere Wochen dauern kann.
Angst- und schmerzfreie Behandlung
Die Operation kann sowohl unter örtlicher Betäubung als auch im Dämmerschlaf durchgeführt werden. Im Vorgespräch beraten wir Sie über unsere Möglichkeiten der angst- und schmerzfreien Behandlungsmethoden.
Ergebnisse und Erfolgsaussichten
Die Erfolgsaussichten hängen von der Art der Behandlung ab. Wenn ein verlagerter Zahn freigelegt und kieferorthopädisch eingeordnet wird, bestehen sehr gute Chancen, dass er sich in die Zahnreihe einfügt und seine Funktion langfristig erhalten bleibt.
Bei der Entfernung eines verlagerten Zahns, insbesondere eines Weisheitszahns, heilt die Wunde in der Regel ohne langfristige Folgen ab. Wichtig für den Behandlungserfolg ist eine frühzeitige Diagnose und eine individuell abgestimmte Therapie. Je früher das Problem erkannt wird, desto einfacher und erfolgreicher kann es behandelt werden.
Regelmäßige Nachkontrollen und eine sorgfältige Mundhygiene tragen dazu bei, den Heilungsprozess optimal zu unterstützen und möglichen Komplikationen vorzubeugen.